Uventede forandringer i munnen etter trening
Du har nettopp fullført en intens intervalløkt eller en langtur i marka. Pulsen synker, og du tar en slurk vann. Plutselig merker du en rar følelse på tungen – en lett svie, kanskje en brennende fornemmelse når væsken treffer. Du inspiserer tungen i speilet hjemme og legger merke til rare, røde flekker med hvitaktige kanter. Mønsteret minner om et landkart, og du lurer på om dette er noe du bør bekymre deg for.
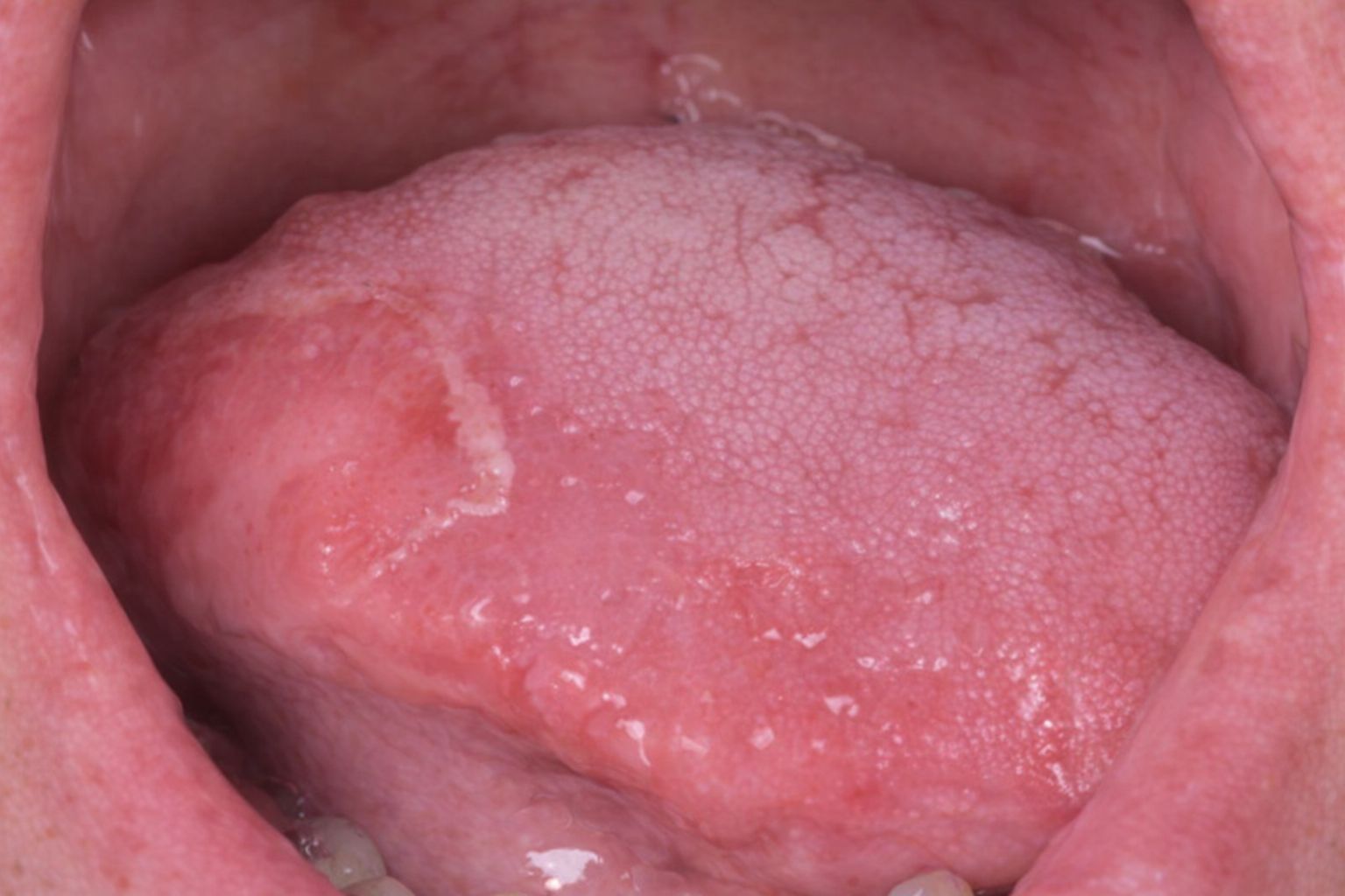
Det du opplever kan være geografisk tunge, en tilstand med et dramatisk navn som høres mer alarmerende ut enn den faktisk er. Denne godartede betennelsestilstanden rammer mellom én og tre prosent av befolkningen, og mange aktive løpere oppdager den først når de begynner å trene hardt og regelmessig. Selv om synet av kartlignende mønstre på tungen kan virke fremmed, er geografisk tunge helt ufarlig og krever sjelden behandling. Tilstanden er verken smittsom eller forbundet med kreft.
I denne artikkelen får du innsikt i hvorfor geografisk tunge kan oppstå eller forverres i forbindelse med løping, hvilke faktorer under og rundt treningen din som kan trigge symptomer, og ikke minst – hva du konkret kan gjøre for å lindre ubehaget. Fra væskebalanse og pustetekniker til kostholdsvalg og stressmestring, gir vi deg praktiske grep som lar deg holde fokuset der det hører hjemme: på neste løpeøkt.
Dette kjennetegner geografisk tunge
Geografisk tunge får navnet sitt fra utseendet: glatte, røde områder på tungeoverflaten omgitt av hvite eller gulhvite kanter som skaper et mønster som ligner på et verdenskart. Disse flekkene oppstår fordi små smakspapiller på tungeoverflaten forsvinner midlertidig, og etterlater rødere, glattere partier. Det fascinerende med tilstanden er at mønsteret sjelden ligger stille – flekkene kan migrere fra dag til dag, noe som også har gitt tilstanden det medisinske navnet benign migrerende glossitt.
For mange løpere er tilstanden helt symptomfri, og de oppdager flekkene kun ved en tilfeldighet. Rundt ti prosent av de som har geografisk tunge opplever imidlertid ubehag. Dette kan være en sviende eller brennende følelse, spesielt når du spiser eller drikker noe syrlig, krydret eller sterkt. Noen merker også økt følsomhet mot visse typer tannkrem eller til og med mot varme drikker. Symptomene kan vare i uker eller måneder før de forsvinner av seg selv, men tilstanden har en tendens til å komme tilbake i perioder.
Vanlige symptomer inkluderer:
- Røde, glatte flekker der papillene mangler
- Hvite eller gulhvite kanter rundt de røde områdene
- Mønster som endrer form og plassering over tid
- Sviende eller stikkende følelse ved kontakt med visse matvarer
- Økt følsomhet på tungen, spesielt mot syrlige eller krydrede produkter
Det er viktig å understreke at geografisk tunge er en godartet tilstand som ikke fører til alvorligere problemer. Den er ikke smittsom, og du kan fortsette å trene, dele drikkeflaske på langtur og leve helt normalt. Tilstanden kan forveksles med tunge med sprekker (fissurert tunge), som også er ufarlig og ofte opptrer sammen med geografisk tunge.
Hvorfor løpere er spesielt utsatt for utbrudd
Selv om den nøyaktige årsaken til geografisk tunge fortsatt er ukjent, vet vi at visse faktorer kan utløse eller forverre symptomene. For løpere er kombinasjonen av fysisk stress og de spesifikke forholdene i munnen under trening særlig relevant. Når du presser kroppen gjennom en hard økt, frigjøres stresshormoner som kortisol, og immunforsvaret aktiveres på måter som kan påvirke slimhinnene i munnen. Selv om geografisk tunge ikke skyldes immunsvikt, ser man ofte at perioder med stress eller irritasjon kan utløse symptomer hos aktive personer.
Munntørrhet er en annen nøkkelfaktor som rammer many løpere, spesielt under lange økter. Når du puste tungt gjennom munnen over lengre tid, reduseres spyttproduksjonen, og slimhinnene tørker ut. Spyttet har en beskyttende funksjon – det holder munnen fuktig, nøytraliserer syre, og beskytter mot bakterier. Uten tilstrekkelig fuktighet blir tungen mer sårbar for irritasjon. Ifølge Norsk Helseinformatikk kan munntørrhet skyldes mange faktorer, inkludert angst, frykt og medisinbruk, men for løpere er den økte luftstrømmen gjennom munnen en hovedårsak under aktivitet.

Dehydrering forsterker problemet ytterligere. Når du ikke får i deg nok væske før, under og etter løpeturen, får kroppen mindre væske å produsere spytt av. Dette skaper en ond sirkel: Tørr munn gir mer friksjon mot tennene og ganen, og slimhinnene blir ekstra mottakelige for irritasjon fra sure eller krydrete produkter. For løpere som bruker energigeler eller sportsdrikker, kan disse produktene også bidra til å tørke ut munnen ytterligere hvis de ikke skylles ned med vann.
Ytre forhold spiller også inn. Kaldt vintervær og sterk vind tørker ut luftveiene og munnen raskere enn mildt, fuktig vær. Løpere som trener utendørs året rundt, spesielt i nordiske strøk, opplever ofte mer munntørrhet om vinteren. Kombinasjonen av kald luft, økt pustehastighet og redusert væskeinntak (man glemmer lettere å drikke når det er kaldt) gjør vinterhalvåret til en kritisk periode for de som er disponert for geografisk tunge.
Smarte grep under selve løpeturen
Det første og kanskje viktigste grepet du kan ta for å beskytte munnen under løping, er å justere pustevanene dine. Prøv å puste mest mulig gjennom nesen, spesielt når tempoet er moderat. Nesepusten filtrerer og fukter luften før den når munnen og lungene, noe som reduserer uttørringen dramatisk. Dette er spesielt viktig om vinteren, når kald luft raskt tørker ut slimhinnene. Hvis du sliter med å opprettholde nesepust under hele økten, kan teknikken å puste smart i kulda for å redusere munnirritasjon hjelpe deg å finne en balanse mellom nesepust og munnpust som passer ditt intensitetsnivå.
Valg av væske under løpeturen har også betydning. Hvis du opplever et aktivt utbrudd av geografisk tunge, bør du holde deg til rent vann fremfor sterkt fargede eller syrlige sportsdrikker. Mange sportsdrikker inneholder sitronsyre eller andre syrlige tilsetningsstoffer som kan forsterke den brennende følelsen på en irritert tunge. Vann er mildt, skyller bort irritanter og holder munnen fuktig uten å trigge ytterligere ubehag. På langtur kan du dessuten drikke oftere i små slurker, fremfor å vente til du er virkelig tørst – dette holder fuktigheten stabil og forhindrer at munnen tørker helt ut.
Slik holder du munnen fuktig under løpeturen:
- Start økten godt hydrert – drikk et glass vann 15-30 minutter før du løper
- Ha med vannflaske selv på kortere turer hvis du er disponert for munntørrhet
- Ta små, hyppige slurker fremfor store inntak med lange intervaller
- Skyll munnen med vann etter inntak av energigel eller sportsernæring
- Unngå å puste med åpen munn lenger enn nødvendig – tren opp nesepusten gradvis
Enkelte løpere finner det også nyttig å bruke tyggegummi uten sukker rett etter økten for å stimulere spyttproduksjonen og gjenopprette fuktigheten i munnen. Pass på at tyggegummien er smaksnøytral eller mild, ikke myntefris eller sterk, da intense smaker kan forverre symptomene midlertidig.
Kosthold og sportsernæring som trigger
Geografisk tunge gjør tungen mer følsom overfor visse matvarer, og for løpere blir dette ekstra relevant når sportsernæring kommer inn i bildet. Krydret mat, sitrusfrukter, tomater og tomatsaus er velkjente triggere som kan forårsake svie eller ubehag. Det samme gjelder sterke krydder som chili, hvitløk og pepper. Nøtter, spesielt de med en grovere tekstur, kan også irritere de glatte, røde flekkene på tungen. Alkohol og tobakk forverrer symptomene for mange, så disse bør unngås i perioder med aktive utbrudd.
For løpere som bruker energigeler, sportsdrikker eller annen sportsernæring, oppstår en ekstra utfordring. Mange av disse produktene inneholder syrlige smaker som sitron, appelsin eller bær, designet for å gi en frisk smaksopplevelse som motiverer til inntak. Dessverre kan den samme syrligheten som gjør produktet forfriskende, også irritere en sensitiv tunge. Ifølge en systematisk oversikt publisert i Current Oral Health Reports kan sportsdrikker bidra til tannemalje-erosjon over tid, noe som understreker at syrlige produkter har en reell effekt på munnhelsen. For å redusere risikoen, bør du alltid skylle munnen med vann rett etter du har tatt en gel eller drukket en sportsdrikk.
| Trygg løpemat | Triggende matvarer |
|---|---|
| Bananer | Sitrusfrukter (appelsin, sitron, grapefrukt) |
| Havregrøt | Tomater og tomatsaus |
| Rent vann | Syrlige sportsdrikker |
| Melkeprodukter (yoghurt, cottage cheese) | Krydret mat (chili, sterke krydder) |
| Ris og pasta | Alkohol |
| Kokt kylling eller fisk | Grovtekstrede nøtter |
| Smoothies uten sitrus | Sterkt krydret snacks |
Når du planlegger matinntak før og etter trening, fokuser på milde, næringsrike alternativer som gir deg energien du trenger uten å irritere tungen. Havregrøt med banan, pasta med mild saus, eller en smoothie basert på bær og gresk yoghurt (uten sitrus) er gode valg. Husk at tungen din gir deg tydelige signaler – hvis noe svir eller brenner, er det et tegn på at du bør unngå det inntil utbruddet har roet seg.
Livsstilsråd for å dempe symptomene
Siden stress er en kjent trigger for geografisk tunge, blir stressmestring en viktig del av forebyggingen. For løpere er det ekstra interessant at selve løpingen kan fungere som en stressdemper – men bare hvis den ikke blir enda en kilde til press i en allerede hektisk hverdag. Hvis du merker at geografisk tunge oppstår i forbindelse med stressperioder på jobben eller i privatlivet, kan det være lurt å redusere stress med rolige skogsturer fremfor intensive intervaller. Skog og natur har en dokumentert beroligende effekt, og en lavintensitets tur kan gi kroppen den aktive restitusjonen den trenger uten å forsterke stressresponsen.
Valget av tannkrem kan også spille en rolle. Mange kommersielle tannkremer inneholder natriumlaurylsulfat (SLS), et såpestoff som skummer og renser, men som samtidig kan irritere slimhinnene i munnen. Personer med geografisk tunge rapporterer ofte bedring når de bytter til en SLS-fri tannkrem. Dette gjelder spesielt hvis du opplever økt følsomhet etter tannpuss. Apoteket eller helsekostbutikken har som regel flere SLS-frie alternativer, og det er verdt å teste et par uker for å se om det gjør en forskjell.
God munnhygiene er viktig, men overdreven pussing kan faktisk forverre problemet. Bruk en myk tannbørste, og vær forsiktig når du pusser tungen – ikke skrubb for hardt. Noen løpere finner det også nyttig å sjekke sine nivåer av sink, jern, folsyre og B-vitaminer, da mangler kan være assosiert med økt risiko for geografisk tunge. Hvis du er usikker, kan en blodprøve hos fastlegen avklare om du har mangler som bør utbedres.
Andre praktiske grep inkluderer:
- Bruk en fuktighetsspray eller sukkerfrie pastiller hvis munntørrhet er et vedvarende problem
- Unngå å puste gjennom munnen når du ikke trener – forsøk å puste gjennom nesen også i hverdagen
- Drikk vann jevnlig gjennom dagen, ikke bare under trening
- Vurder å reise med et enkelt munnpleie-kit til løp hvis du ofte konkurrerer bortreist
- Ha en mild, SLS-fri tannkrem med deg på reise
Hvis symptomene er plagsomme, kan legen din i noen tilfeller foreskrive en mild kortisonsalve som påføres tungen. Dette er sjelden nødvendig, men kan gi rask lindring i perioder med særlig mye ubehag. Lokale bedøvende midler eller antihistamin-skyllevæsker kan også hjelpe, men de fleste klarer seg godt med enkle livsstilsjusteringer.
Slik holder du løpegleden oppe
Geografisk tunge er en godartet tilstand som i de aller fleste tilfeller går over av seg selv etter en tid, selv om den kan dukke opp igjen senere. Det viktigste å huske er at denne tilstanden ikke trenger å stoppe treningen din eller påvirke løpsgleden. Med noen enkle grep – som å puste mer gjennom nesen, velge milde matvarer, skylle munnen etter geler, og holde deg godt hydrert – kan du minimere ubehaget og fortsette å nyte løpeturene dine.
Hvis du opplever vedvarende smerte, sår som ikke gror, eller er usikker på om det virkelig er geografisk tunge du har, bør du oppsøke tannlege eller lege for en vurdering. Det er viktig å utelukke andre tilstander hvis symptomene er uvanlige eller ikke svarer på de tiltakene du setter i gang. Men for de aller fleste er det trygt å fortsette å løpe, trene og konkurrere – tungen din vil tilpasse seg, og kroppen vil finne en ny balanse. Lytt til signalene, juster væske og kosthold underveis, og fortsett å løpe mot dine mål med tillit til at kroppen tåler mer enn du tror.
